20 знімків, які раніше бачили тільки рентгенологи. А тепер можете і ви

124 роки тому Вільгельм Рентген випадково відкрив ікс-промені, які, крім іншого, допомагали «просвітити» людське тіло наскрізь. З тих пір пішло-поїхало: вчені придумали томографи і змогли відкрити безліч таємниць нашого організму.

Porady.co.ua не втомлюється дивуватися складності будови людського організму. Ми переглянули тисячі МРТ і КТ-знімків, щоб знайти по-справжньому захоплюючі і здивувати вас теж.

1. Дівчинка взяла на рентген улюблену іграшку. Тепер ви знаєте, як виглядає Свинка Пеппа в рентгенівському випромінюванні

20 знімків, які раніше бачили тільки рентгенологи. А тепер можете і ви

2. Комп’ютерна томограма легенів курця

Пацієнт страждає від емфіземи — хвороби легенів, з-за якої порушується надходження кисню в організм.

3. Рентген пацієнта з пірсингом

4. Комп’ютерна томографія гімнастки, що виконує вправу

20 знімків, які раніше бачили тільки рентгенологи. А тепер можете і ви

5. Так виглядає биття людського серця

6. Силіконові груди в апараті МРТ

20 знімків, які раніше бачили тільки рентгенологи. А тепер можете і ви

7. Знімок кровоносних судин мозку, зроблений з допомогою потужного томографа в 7 тесла

20 знімків, які раніше бачили тільки рентгенологи. А тепер можете і ви

А в Китаї вже розробили медичний томограф зі значенням магнітної індукції 14 тесла, який може побачити роботу думки. Апарат з таким магнітом чутливий до електронного поля нейронів мозку. Правда, він поки не схвалений для використання на людях.

8. Рентгенограма кисті: зліва — звичайний знімок, рука праворуч полита йодом

20 знімків, які раніше бачили тільки рентгенологи. А тепер можете і ви

У рентгенології речовини на основі йоду використовуються в якості контрасту.

9. МРТ жінки, яка вагітна двійнею

10. Поцілунок під променями рентгена

20 знімків, які раніше бачили тільки рентгенологи. А тепер можете і ви

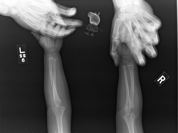
11. Так змінюється рука дитини з віком

20 знімків, які раніше бачили тільки рентгенологи. А тепер можете і ви

На місці деяких кісток спочатку розташовуються хрящі, які пізніше замінить кісткова тканина.

12. Як виглядає тіло людини при різних технологіях сканування

Шкіра. М’язи. Кістки. Судини.

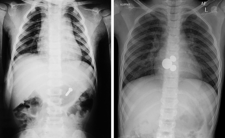
13. Ось чому не можна дозволяти дітям грати з дрібними предметами

20 знімків, які раніше бачили тільки рентгенологи. А тепер можете і ви

14. ПЕТ-сканування людини з В-клітинною лімфомою. Зліва — результат до хіміотерапії, праворуч — після

15. Пацієнтка прийшла на рентген з накладними нігтями

16. Так мозок змінюється протягом життя. У людини праворуч хвороба Альцгеймера, яка призводить до атрофії мозку

20 знімків, які раніше бачили тільки рентгенологи. А тепер можете і ви

17. Комп’ютерна ангіографія людського серця, яке обплутане мережею судин

18. Пологи в апараті МРТ

20 знімків, які раніше бачили тільки рентгенологи. А тепер можете і ви

19. Флюороскопія руху щелеп

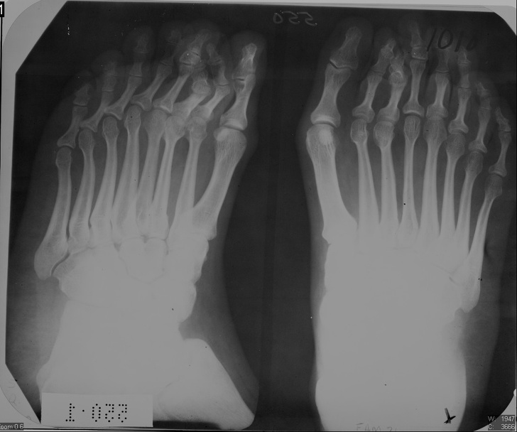
20. Рентген стоп пацієнта з полидактилией

20 знімків, які раніше бачили тільки рентгенологи. А тепер можете і ви

Полідактилія — анатомічне відхилення, при якому людина народжується більш ніж з 5 пальцями на кінцівки.

Бонус: МРТ-сканування брокколі виглядає як феєрверк

Зізнаємося чесно: краса людського тіла просто зачарувала нас. А як ви ставитеся до медичних знімків: відчуваєте страх перед ними або хочете розглянути в подробицях?

EAST NEWS

Добавить комментарий

Ваш e-mail не будет опубликован. Обязательные поля помечены *

*

code